Implant Supported Dentures - Covington, LA
The Great Denture Debate


Considering Your Options
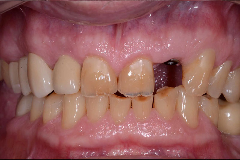
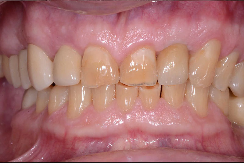
If you have many failing and missing teeth or wear ill-fitted dentures, you are most likely experiencing uncomfortable situations. Dental implants make it possible to live a healthy, confident life with solutions that include implant supported dentures to permanently fixed full mouth dental implants. Your options for replacing missing teeth vary, each with its own advantages, drawbacks, and costs. Understanding your goals for treatment and what to expect can help you determine which solution is best for you. At Magnolia Dental, our implant dentist provides all these dental implant treatments in Covington, LA to restore function to your smile again. Discover whether a fixed or removable smile is best for your lifestyle!
Comparing Fixed Teeth Vs. Removable
In general, you have two options for replacing your teeth: fixed and removable. You’re aware of dentures, which is the bottom tier of tooth replacement. These artificial teeth are set on an acrylic base that fits over your gums. They return only 20% of natural function and will eventually become loose and ill-fitting as your jaw changes shape. A functional upgrade, implant supported dentures in Covington, LA are stabilized by two or more dental implants to restore 60% of dental function. They still consist of a removable acrylic denture and may crack or fracture over time.
Full mouth dental implants consist of a fixed prosthetic bridge of teeth permanently supported by 4-8 dental implants. This solution restores over 98% of natural function with teeth precision-crafted to look, feel, and function like the real thing. You can eat without limitations, enhance your quality of life, and talk, laugh, and smile confidently! We encourage you to consider all your options, then schedule a consultation to receive an evaluation and personalized treatment plan.

Implant Care Requires
an Expert Team
Our oral surgeon has been providing dental implant treatment for many years. Utilizing state-of-the-art technology and implant systems, we consistently provide cutting-edge surgery with excellent long-term outcomes. With our personalized treatments, we can deliver a solution that precisely fits your smile goals, oral health needs, and even your financial budget. Our treatment process is straightforward and efficient. You’ll first complete a personalized consultation and evaluation with our oral surgeon in Covington, LA. Next, if necessary, you’ll undergo preparatory treatments like tooth extraction, bone grafting, or gum disease therapy to establish proper oral health and a strong foundation for new teeth.
We complete your dental implant surgery right in our office while you’re comfortably under sedation. This surgery is precisely planned and predictable. You can expect this surgery to be completed in just a few hours. In many cases, we can provide new temporary teeth or modify your existing denture, so you’ll have functional teeth as you heal. When this recovery phase is complete, your final set of teeth will be precision-crafted to meet your exact specifications along with our clinical recommendations to optimize long-term function and esthetics.
Get Pricing And Options For Treatment

An Investment Worth Making
Our dental implant solutions in Covington, LA provide permanent improvements in your health, function, and confidence. This permanent fix to missing teeth is a lifelong investment in yourself. Even if you don’t have dental insurance, don’t assume this solution is out of your reach. We’ve partnered with select dental financing companies to help you afford treatment, no matter your financial situation. Our financial coordinator can assist you in applying for dental financing and help you secure a personalized payment plan that you feel comfortable with. Don’t limit your life because you’re concerned about the cost of dental implants.

Schedule An Appointment
I understand the information disclosed in this form may be subject to re-disclosure and may no longer be protected by HIPAA privacy regulations and the HITECH Act.






